Home | Contact | Shop | | BackSound

Inwendige ziekten

Inwendige ziekten bij paarden

EquiSound is gespecialiseerd in de detectie, preventie en niet-chirurgische behandeling van inwendige ziekten bij paarden en pony’s. Internistische onderzoeken zijn bijkomend uitstekend geschikt om problemen bij meerdere orgaansystemen aan het licht te brengen. Dit is aangewezen in de hieronder genoemde gevallen.

Langdurige of chronische ziekten

Raadpleeg een specialist in inwendige ziekten bij paarden, of een Diplomate van de European College of Equine Internal Medicine (ECEIM) indien:

  • een ziekte langdurig is;
  • een ziekte niet vaak voorkomt;
  • er nog geen exacte diagnose gesteld werd;
  • de genezing na een behandeling uitblijft.

Spijsverteringsproblemen

Chronisch terugkerende koliek ten gevolge van maagzweren, parasitaire problemen, zandopname of andere oorzaken, kan dierenartsen voor een uitdaging stellen. Met behulp van bijkomende internistische onderzoeken kunnen we de oorzaak meestal opsporen. Ook met paarden of pony’s die vermageren, last hebben van diarree, weinig eetlust hebben of herhaaldelijk kampen met slokdarmverstoppingen, kan u terecht bij onze specialist in inwendige ziekten.

Ademhalingsproblemen

Ademhalingsproblemen of een slechte recuperatie na inspanning, al dan niet met hoesten en/of neusvloei, kunnen meerdere oorzaken hebben: Recurrent Airway Obstruction (RAO), een ontsteking van de kleinere luchtwegen (Airway Inflammatory Disease of AID), allergische rhinitis, sinusitis, longbloeden… Met behulp van een intern onderzoek, gecombineerd met bijkomende onderzoeken zoals endoscopie, broncho-alveolaire lavage, RX en/of echografie kan een exacte diagnose gesteld worden.

Hartproblemen

Om te weten of een paard voldoende in conditie is voor de gevraagde prestaties, voert EquiSound melkzuurbepalingen uit. Ook inspanningstesten met Holter monitoring om de hartfrequentie te controleren wanneer het paard werkt behoren tot de mogelijkheid. Op basis van deze onderzoeken kan het trainingsschema geoptimaliseerd worden. Echocardiografie met Doppler is aangewezen indien er tekenen zijn die op hartziekten wijzen en die verder onderzocht moeten worden.

Ziekten van het zenuwstelsel

Onderzoek van het zenuwstelsel bij paarden is aangewezen als:

  • ze een afwijkende houding van het hoofd of de ledematen vertonen;
  • hun gedrag plotseling verandert;
  • ze moeilijkheden hebben om voedsel op te nemen;
  • ze beven of bijvoorbeeld spiertrillingen vertonen.

Begeleiding van oudere paarden

Onze specialist in inwendige ziekten biedt ook begeleiding aan voor oudere paarden. Dankzij regelmatige onderzoeken van de verschillende organen en voedingsadviezen kunnen oudere paarden hun laatste levensfase zo gezond mogelijk doorbrengen.

Onderzoek van bedrijfsproblemen

Een goede inventarisatie van de paarden en hun lokalisatie op een bedrijf, klinisch internistisch onderzoek en gerichte staalnames kunnen helpen om een diagnose te stellen en problemen aan te pakken op een manier die aansluit bij de bedrijfssituatie.

Het is belangrijk een specialist in inwendige ziekten paard, (Diplomate van de European College of Equine Internal Medicine (ECEIM)) te raadplegen bij langdurige, of niet veel voorkomende ziekten of wanneer er geen exacte diagnose gesteld werd of wanneer het dier niet spoedig geneest na een ingestelde behandeling.

Voorbeelden

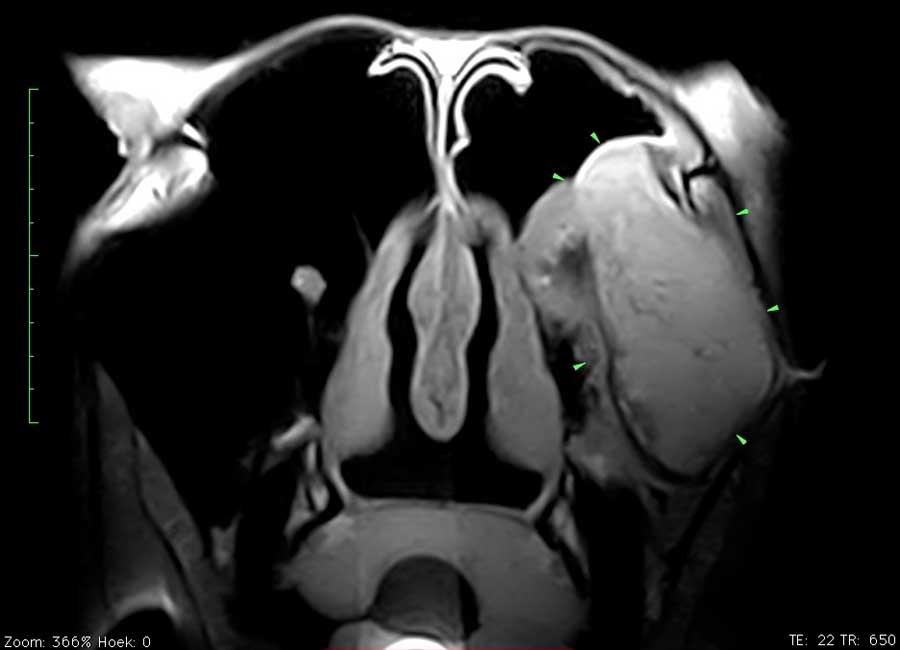
Dit paard had sinds enkele weken een unilaterale bloederige neusvloei. Op endoscopisch onderzoek was slechts een minimale afwijking ter hoogte van het linker ethmoid te zien. Radiografisch onderzoek toonde echter een grote massa in de sinus. Er werd beslist een pre-operatieve MRI uit te voeren om de operatie te plannen en ook de prognose beter te kunnen inschatten. Het ethmoid hematoom (PEH) bleek een groot deel van de linker sinus ingenomen te hebben.

Röntgenfoto van longen van een paard met ernstige longproblemen: de luchtwegen zijn reeds "verlittekend".

Microscopisch beeld van het gewrichtsvocht van een veulen. Bij dit veulen zijn er grote hoeveelheden ettercellen aanwezig. Dit wijst op een slechte afweer van het lichaam van het veulen waardoor bacteriën zich kunnen nestelen en vermenigvuldigen.

De website van Equisound maakt gebruik van cookies.   
Meer info   AKKOORD